生死时速:一根44厘米断裂导管在9岁男孩心脏内的48小时
“导管断裂,滑入心脏”——当这几个字出现在病历上时,每一秒都开始与死神赛跑。
2月25日中午,一辆120急救车疾驰而至,来到北京京都儿童医院。车上,是一名在其他医疗机构治疗中的髓母细胞瘤患儿----木木(化名),发现PICC管断裂后因无相应干预技术被紧急转至我院。
他体内那根本应输送生命希望的PICC管,意外断裂,长达44厘米的导管脱离已滑入心脏部位,停留超过15小时。
44厘米——这个长度在临床中非常罕见,威胁着孩子的生命。
一场没有硝烟的“抓捕战”,就此打响。
导管“潜逃”:从右心室到肺动脉的致命路径
入院后,在北京京都儿童医院心胸外科杨学勇主任带领下,团队迅速启动绿色通道,并迅速联系心脏内科郭保静主任为患儿进行联合会诊。

(入院时杨学勇主任为患儿查体)
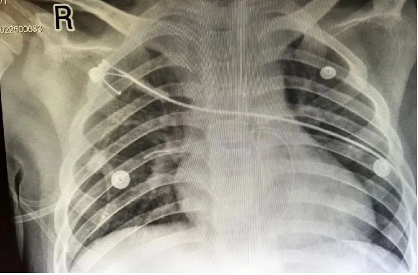
床旁超声、心电图、胸片同步展开,精准“锁定”断裂导管的位置:近端卡在右心室流出道,远端漂至右肺动脉,中段竟绕成环状,盘踞在左肺动脉起始部。需尽快手术取出。

(术前导管远端处于右肺动脉部位)
针对术前讨论时的考虑因素,郭保静主任表示:
“第一,PICC管断裂漂移是长期植入PICC管的并发症之一,一般不会影响孩子的生命。但患儿的导管特别长——44厘米,心脏一直在跳动,一旦脱离导管随着心脏跳动打结,就很难通过介入手术取出,只能通过开刀取出。”
“第二,脱离的导管会移动。手术时要先确定导管的尾端位置,整个过程就像在跳动的心脏里‘拆弹’。”
“第三,取出只是第一步,后续治疗也是关键。在成功取出脱离导管后,借助手术麻醉时间,由血液肿瘤科的护理团队植入新的PICC管作为孩子后续治疗的液体通路——这是守护患儿后续化疗的生命线。一次手术,解决两个问题,这是我们医院的特色,也是我们对孩子的承诺。”
“渔网”入心:一场毫米级的抓捕行动
次日,在征得的家属同意后,手术在导管室顺利进行。主刀的是郭保静主任,他经右侧股静脉穿刺,送入MPA导管和圈套器。在X光透视下,发现PICC管末端由入院时胸片显示的右心房漂移至右室流出道。郭保静主任操作这套精密的“渔网”,精准捕捉到那根“潜逃”的导管。

(郭保静主任手术)

(手术时导管末端飘移至右室流出道)
屏幕前,所有人的目光聚焦于那根细小的圈套器。一次、两次……当圈套器稳稳套住导管远端,缓缓从股静脉拉出时,手术室里只有呼吸声和监护仪的滴答声。
当44厘米的断裂导管完整取出,透视确认无残留的那一刻,所有人悬着的心终于落地。

(成功取出PICC导管)
郭保静主任在成功取出PICC导管后,血液肿瘤科护理团队第一时间为孩子重新置入新的PICC管——为这个孩子未来的治疗铺平道路。
48小时:技术之外,更是信念的接力
术后第一天,木木精神状态良好,无任何不适,顺利出院。
从入院、手术到出院,仅用48小时。

(杨学勇主任术后探望患儿)
这场“导管抓捕战”,考验的不仅是介入技术的精准,更是多学科协作的默契、绿色通道的畅通,以及面对危重患儿时那份“分秒必争”的信念。
在北京京都儿童医院,这根44厘米的断裂导管,最终没有成为夺命的“利刃”,而成为一场生命接力的见证。
在这个9岁男孩被妈妈推出病房的那一刻,他的身后有许多双眼睛,微笑着看他走远。

也许,那48小时对木木来说,只是人生中睡一觉就过去的片段,但对北京京都儿童医院心脏中心团队来说,那是又一个被他们从死神手里抢回来的晴天。为危重患儿托起生命的晴天,需要的不仅是技术,更是速度与担当。而在北京京都儿童医院,每一天,这样的故事都在发生。
标签:


